Como o ultrassom morfológico do 2º trimestre pode ajudar na prevenção do parto prematuro?
O parto prematuro — aquele que acontece antes das 37 semanas de gestação — ainda é uma das principais causas de complicações neonatais e mortalidade infantil no mundo. A boa notícia é que, com o avanço da medicina, temos ferramentas cada vez mais eficazes para identificar fatores de risco e agir precocemente. Uma dessas ferramentas é o ultrassom morfológico do 2º trimestre.
4/8/20251 min read
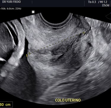
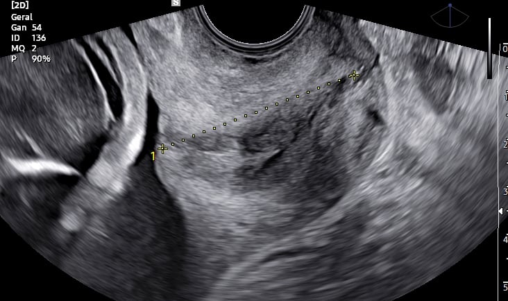
Esse exame é geralmente realizado entre 20 e 24 semanas de gestação. Ele tem como principal objetivo avaliar a formação do bebê, identificando possíveis malformações, além de observar o crescimento fetal e a placenta. No entanto, outro ponto muito importante e, às vezes, pouco comentado, é a avaliação do colo uterino, que pode ajudar a prever e até evitar o parto prematuro.
Como o exame ajuda na prevenção do parto prematuro?
Durante o ultrassom, avaliamos o comprimento do colo do útero por via transvaginal. Um colo curto — geralmente considerado menor que 25 mm — pode indicar maior risco de parto prematuro. Essa medição é simples, rápida e indolor, e pode fazer toda a diferença no acompanhamento da gestação.
Se identificado um risco aumentado, é possível:
Iniciar o uso de progesterona vaginal, que ajuda a reduzir o risco de parto prematuro.
Realizar um acompanhamento mais próximo com o obstetra.
Em alguns casos, considerar procedimentos como o cerclagem uterina (colocação de pontos no colo do útero para mantê-lo fechado).
Orientar repouso e restrição de atividades, quando indicado.
A importância do cuidado individualizado
Ela é especialmente recomendada em mulheres com fatores de risco, como:
Histórico de parto prematuro anterior.
Cirurgias no colo do útero.
Malformações uterinas.
Fale com seu obstetra sobre a importância dessa avaliação. Em muitos casos, ela pode ser feita no mesmo momento do ultrassom morfológico do 2º trimestre, otimizando o cuidado sem aumentar os custos ou o desconforto.
Prevenção é a chave
A melhor forma de cuidar da gestação é se antecipar aos problemas. O parto prematuro nem sempre pode ser evitado, mas com vigilância adequada, é possível reduzir significativamente seus riscos e consequências.
Se você está grávida ou conhece alguém que está passando por esse momento especial, compartilhe essa informação. O conhecimento salva vidas — e no caso da gestação, pode proteger a saúde do bebê antes mesmo do nascimento.
