Ultrassom Dermatológico: A Revolução na Avaliação da Pele
Especialista em ultrassom dermatológico para avaliar pele, gordura, tumores e cicatrizes com precisão. Diagnóstico avançado e não invasivo.
2/9/20252 min read
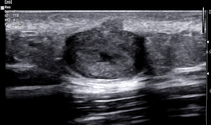
O ultrassom dermatológico tem se destacado como uma ferramenta essencial na avaliação da pele e dos tecidos subcutâneos. Com a evolução da tecnologia, o uso de transdutores de alta frequência permite uma análise detalhada, auxiliando no diagnóstico de diversas condições dermatológicas e estéticas.
O que é o Ultrassom Dermatológico?
O ultrassom dermatológico é um exame não invasivo que utiliza ondas sonoras para visualizar as camadas da pele e estruturas subjacentes. Diferente dos exames convencionais, que utilizam frequências mais baixas, o ultrassom dermatológico emprega transdutores de alta frequência (acima de 15 MHz), proporcionando imagens de alta resolução da epiderme, derme e hipoderme.
Benefícios do Uso do Transdutor de Alta Frequência
Os transdutores de alta frequência trazem várias vantagens na avaliação dermatológica:
1. Maior Precisão Diagnóstica
A alta resolução das imagens permite diferenciar estruturas da pele, como epiderme, derme, hipoderme e possíveis lesões, facilitando a avaliação de tumores benignos e malignos, cistos, inflamações e outras alterações.
2. Monitoramento de Tratamentos Dermatológicos
O ultrassom de alta frequência é uma excelente ferramenta para acompanhar a evolução de tratamentos estéticos e terapêuticos, como laserterapia, preenchimentos faciais e corticoterapia intralesional.
3. Auxílio na Avaliação de Doenças Cutâneas
Condições como psoríase, dermatite e esclerodermia podem ser analisadas com mais detalhe, permitindo um acompanhamento mais preciso e uma resposta terapêutica personalizada.
4. Segurança e Conforto para o Paciente
Por ser um exame não invasivo e indolor, o ultrassom dermatológico pode ser realizado repetidamente, sem riscos de radiação ou efeitos adversos.
5. Aplicabilidade em Procedimentos Estéticos
No campo da dermatologia estética, o ultrassom auxilia na avaliação da profundidade e localização de preenchedores faciais, prevenindo complicações e melhorando os resultados dos procedimentos.
Conclusão
O ultrassom dermatológico com transdutor de alta frequência é uma inovação que agrega precisão e segurança à avaliação da pele. Seja para o diagnóstico de patologias cutâneas, acompanhamento de tratamentos ou procedimentos estéticos, essa tecnologia está transformando a dermatologia e proporcionando melhor qualidade no atendimento ao paciente.
