Ultrassonografia na Saúde da Mulher: Um Exame Essencial para Diagnóstico e Prevenção
Exame de Ultrassom com Preparo Intestinal para Pesquisa de Endometriose Profunda
2/9/20252 min read
Foco de endometriose em ligamento ulterossacro esquerdo em paciente com queixas de cólicas e dores pélvicas.
A ultrassonografia é uma ferramenta fundamental para a saúde da mulher, desempenhando um papel essencial na prevenção, diagnóstico e acompanhamento de diversas condições ginecológicas e mamárias. Por ser um exame não invasivo, indolor e de fácil acesso, tornou-se um aliado indispensável para médicos e pacientes.
Principais Aplicações da Ultrassonografia na Saúde da Mulher
1. Ultrassonografia Mamária
A ultrassonografia de mama é frequentemente utilizada como complemento à mamografia, especialmente em mulheres com mamas densas. É um exame essencial para avaliar nódulos, cistos, alterações inflamatórias e acompanhar pacientes com histórico familiar de câncer de mama.
Indicações mais comuns:
Avaliação de nódulos palpáveis;
Investigação de dor mamária;
Acompanhamento de cistos e fibroadenomas;
Auxílio no diagnóstico de câncer de mama;
Guia para biópsias mamárias.
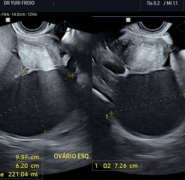
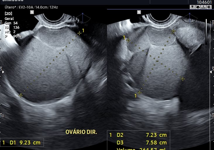
2. Ultrassonografia Pélvica (Transabdominal e Transvaginal)
A ultrassonografia pélvica é fundamental para a avaliação do útero, ovários e outras estruturas da pelve feminina. A via transvaginal oferece imagens mais detalhadas e é amplamente utilizada na investigação de patologias ginecológicas.
Principais indicações:
Investigação de ciclos menstruais irregulares;
Diagnóstico de miomas uterinos e pólipos endometriais;
Avaliação de cistos ovarianos;
Investigação de dor pélvica e endometriose;
Monitoramento da ovulação em tratamentos de fertilidade.
3. Ultrassonografia Obstétrica
A ultrassonografia obstétrica é essencial para acompanhar a gestação, avaliar o desenvolvimento fetal e detectar precocemente possíveis complicações.
Principais tipos de ultrassonografia obstétrica:
Ultrassom Transvaginal: utilizado no início da gestação para confirmação e avaliação do saco gestacional;
Ultrassom Morfológico: realizado no primeiro e segundo trimestres para avaliar a formação fetal e detectar malformações;
Ultrassom com Doppler: importante para avaliar o fluxo sanguíneo placentário e possíveis complicações como restrição de crescimento fetal.
4. Ultrassonografia para Diagnóstico de Endometriose
A endometriose é uma condição comum que pode causar dor pélvica e infertilidade. O ultrassom especializado, principalmente o transvaginal com preparo intestinal, pode detectar implantes endometrióticos profundos e orientar o tratamento.
Conclusão
A ultrassonografia é um exame indispensável na saúde da mulher, auxiliando na prevenção, diagnóstico precoce e acompanhamento de diversas condições ginecológicas e mamárias. Sua acessibilidade e segurança fazem dela um exame de escolha para diferentes faixas etárias e necessidades clínicas.
Se você deseja saber mais sobre como a ultrassonografia pode contribuir para sua saúde, procure um especialista e mantenha seus exames em dia!
